We offer both clear and traditional
Invisalign
If you want to straighten your smile without traditional braces then visalign is a suitable solution for you.
Braces
Braces have been a core orthodontic treatment for many years. Get a straighter, improved smile with braces.
In some cases sectional braces or an appliance may be indicated to correct under bite, cross bite or malocclusion that will limit jaw growth in children.
Orthodontic appliance:
- Removable appliance – different designs for different function
- Fixed appliance – different designs for different purpose
- Metallic or clear braces – traditional braces or clear ceramic options
- Invisible braces – Invisalign which is a clear tray aligner
Our aim is to improve:
- Aesthetics for a beautiful confident smile
- Function for chewing and balanced support
- Healthy teeth and gums
Orthodontic care may be in conjunction with :
- Gum treatment
- Implant treatment
- Cosmetic treatmentConsultation appointment required for assessing:
- Occlusion and bite
- Crowding or space
- Impacted or missing teeth
- Angulation and rotation
- Early interceptive treatment for young children.
- Extractions to allow space for adult teeth.
- No treatment or other alternative options.
- Removable Functional appliance to better promote jaw growth.
- Maxillary expansion device to create more space for your teeth and expand the upper arch width.
- Exposure of impacted teeth with use of soft tissue lasers may be required.
- Reshaping of teeth may also be required before or after braces.
- Gum line correction or removal of fibrous connective tissue causing a diastema.
We can discuss with you…
- Benefits of orthodontic treatment.
- Duration of treatment required.
- Total cost of treatment.
- Difficulties or issues you may experience.
- Importance of good diet and hygiene care during braces.
- Risks and limitations.
Treatment fee will depend on the level of the case, and duration of treatment.
We have interest free payment plan options for you.
Fact: Protruded front teeth have a 40% greater chance of injury.
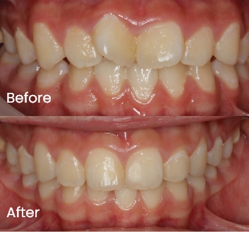
Traditional Braces Treatment
by Dr Grace Kim

Braces and aligning Impacted canine teeth – surgical exposure and orthodontic treatment provided
Treatment by Dr Grace Kim
Actual Patients
All treatments shown on this page are carried out by myself, Dr Grace Eun Ah Kim (Registration No: DEN0000988580), together with my team. I am a general dentist and University of Queensland graduate (2009), with additional training and experience in orthodontics, dental implant surgery (Piezoelectric device and use of biological enhancers), and paediatric dentistry.
All media is shared with patient consent. Before-and-after images and other content are for educational and illustrative purposes only.
Please remember that results vary between individuals and over time. All dental treatments carry risks, and it is essential to consult with your dental professional to determine if a treatment is suitable for you.





